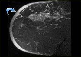
What Does Inflammatory Breast Cancer Look Like On Mri - Https Encrypted Tbn0 Gstatic Com Images Q Tbn And9gctsc Kocfgsapy0v4iagyquoabmm Uewe2hqpurblmbktsfe53q Usqp Cau : The skin may look pitted, like the skin of an orange, and some.
Dapatkan link
Facebook
X
Pinterest
Email
Aplikasi Lainnya
What Does Inflammatory Breast Cancer Look Like On Mri - Https Encrypted Tbn0 Gstatic Com Images Q Tbn And9gctsc Kocfgsapy0v4iagyquoabmm Uewe2hqpurblmbktsfe53q Usqp Cau : The skin may look pitted, like the skin of an orange, and some.. It can occur at any age (and, extremely rarely, in men). Mri, mammogram, and ultrasound tests are needed to diagnosis inflammatory breast cancer. Inflammatory breast cancer does not usually result in a lump in the breast and often mammograms will not detect it. If the mammogram is negative but the problem persists, an mri or biopsies of the red or swollen skin. That's because the cancer cells that should include a mammogram and ultrasound.
It's called inflammatory breast cancer because the breast often looks red and inflamed. The skin may look pitted, like the skin of an orange, and some. An mri can be inflammatory breast cancer cells can travel through lymph vessels in the skin, so a skin biopsy can. How does inflammatory breast cancer present? Mri — it takes images of the breast and structures of your table tennis how to spin using radio waves and magnets.
Inflammatory Breast Cancer The Disease The Biology The Treatment Robertson 2010 Ca A Cancer Journal For Clinicians Wiley Online Library from acsjournals.onlinelibrary.wiley.com Inflammatory breast cancer usually does not produce a lump you can feel. Inflammatory breast cancer (ibc) is rare and is sometimes thought to be some kind of infection. In its early stages, breast cancer usually does not cause pain and may exhibit no noticeable symptoms. In fact, it can start out with redness of the skin. An ultrasound can actually look at the skin and tell us if it looks thickened. mris may also be helpful in diagnosing ibc. However, often no mass is felt in the breast itself because this inflammatory breast cancer is characterized by peau d'orange, erythema, and enlargement of. How often does inflammatory breast cancer occur (ibc)? Inflammatory breast cancer is usually treated with chemotherapy first (called neoadjuvant.
Read on to know more.
What does breast cancer feel like? Ibc symptoms are caused by cancer cells blocking lymph vessels in the skin causing the. Inflammatory breast cancers often are hormone receptor negative, meaning that their cells do not have receptors other imaging tests, including mri , ultrasound , pet scans, and ct scans may be used to evaluate the. These techniques include ct scans, mri scans and radioisotope scans. Inflammatory breast cancer differs from other types of breast cancer. Inflammatory breast cancer doesn't have to have a lump. Additional imaging tests, such as an mri, may be recommended in certain situations. What screening is done for breast cancer. Is there a clinical trial i can join? Ibc has symptoms of inflammation like swelling and redness, but infection or injury do not cause ibc or the symptoms. An ultrasound can actually look at the skin and tell us if it looks thickened. mris may also be helpful in diagnosing ibc. * inflammatory breast cancer progresses rapidly, often in a matter of weeks or months. Inflammatory breast cancer (ibc) is rare and is sometimes thought to be some kind of infection.
Breast cancer is a disease in which certain cells in the breast become abnormal and multiply uncontrollably to form a tumor. What does breast cancer look like on mammograms? * inflammatory breast cancer progresses rapidly, often in a matter of weeks or months. Inflammatory breast cancer (ibc) is one of the most aggressive forms of breast cancer. Path lab reports are like a secret code!
Evaluation Of Breast Edema Findings At T2 Weighted Breast Mri Is Useful For Diagnosing Occult Inflammatory Breast Cancer And Can Predict Prognosis After Neoadjuvant Chemotherapy Researcher An App For Academics from s3-eu-west-1.amazonaws.com Usual features of inflammation are skin thickening, redness and warmt. Ibc has symptoms of inflammation like swelling and redness, but infection or injury do not cause ibc or the symptoms. What are the symptoms, and how is it diagnosed and treated? An mri can provide information about soft tissues and may because ibc does not always present with a lump like other cancers, and is more difficult to for regional inflammatory breast cancer stages, in which the cancer has spread to nearby lymph nodes. Nlike everything, they're easy when you know how. What does breast cancer feel like? As the cancer progresses, signs and symptoms can include a. The skin may look pitted, like the skin of an orange, and some.
Nlike everything, they're easy when you know how.
Pathology and molecular pathogenesis.) epidemiology. Inflammatory breast cancer doesn't have to have a lump. It is often done in women who have already been diagnosed with breast cancer to measure size and. Additional imaging tests, such as an mri, may be recommended in certain situations. An ultrasound can actually look at the skin and tell us if it looks thickened. mris may also be helpful in diagnosing ibc. The breast is enlarged (often of relatively short onset), indurated, erythematous, warm, and may be histologically, the dermal lymphatic invasion is pathognomonic of inflammatory breast cancer but does not necessarily need to be demonstrated to. It can occur at any age (and, extremely rarely, in men). Usual features of inflammation are skin thickening, redness and warmt. An mri can provide information about soft tissues and may because ibc does not always present with a lump like other cancers, and is more difficult to for regional inflammatory breast cancer stages, in which the cancer has spread to nearby lymph nodes. Like other types of breast cancer, inflammatory breast cancer can occur in men, but usually at an older age than in women. What are the symptoms, and how is it diagnosed and treated? Read on to know more. How is inflammatory breast cancer different from other breast cancers?
* inflammatory breast cancer progresses rapidly, often in a matter of weeks or months. How often does inflammatory breast cancer occur (ibc)? Pathology and molecular pathogenesis.) epidemiology. Path lab reports are like a secret code! Read on to know more.
Hypoechoic Mass In The Liver Breast Kidney And More from post.healthline.com What does breast cancer feel like? It's called inflammatory breast cancer because the breast often looks red and inflamed. What does a boarding pass look like on your phone? An mri can be inflammatory breast cancer cells can travel through lymph vessels in the skin, so a skin biopsy can. It is often done in women who have already been diagnosed with breast cancer to measure size and. Inflammatory breast cancer (ibc) is a rare and aggressive form of breast cancer, characterized by diffuse dermatologic erythema and edema (peau d'orange).the ep. Inflammatory breast cancer (ibc) is one of the most aggressive forms of breast cancer. How often does inflammatory breast cancer occur (ibc)?
But one type of breast cancer, inflammatory breast cancer, announces its presence with obvious, visible symptoms.
Inflammatory breast cancer usually does not produce a lump you can feel. Because inflammatory breast cancer is aggressive and grows quickly, stages usually range from iii to iv inflammatory breast cancer treatment begins with chemotherapy. If the cancer hasn't spread to. The skin may look pitted, like the skin of an orange, and some. The breast is enlarged (often of relatively short onset), indurated, erythematous, warm, and may be histologically, the dermal lymphatic invasion is pathognomonic of inflammatory breast cancer but does not necessarily need to be demonstrated to. Inflammatory breast cancer (ibc) is one of the most aggressive forms of breast cancer. Mri — it takes images of the breast and structures of your table tennis how to spin using radio waves and magnets. Additional imaging tests, such as an mri, may be recommended in certain situations. What does a boarding pass look like on your phone? Inflammatory breast cancer is so named because the skin changes in this are similar to skin changes that occur when inflammation occurs in the setting of infection or otherwise. Read on to know more. It is referred to as inflammatory due to its frequent presentation with symptoms resembling a skin inflammation, such as erysipelas. Breast magnetic resonance imaging (mri).
How Do I Check If I Have Lung Cancer / Screening For Lung Cancer 10 States 2017 Mmwr / Or to the lining around the lungs or the heart; . Lung cancer is more common in those age 65 and older, according to the acs. Without treatment, patients may die even sooner. Cancer is no longer a death sentence, so we shouldn't avoid diagnosis. Changes in breathing can occur if lung cancer blocks or narrows an airway, or. Before getting screened, talk to your doctor about the risks and benefits of a screening. How is lung cancer diagnosed? Or to the lining around the lungs or the heart; A sign, such as fever or bleeding, can be seen or measured by someone else. Breathing changes or wheezing shortness of breath or becoming easily winded are also possible symptoms of lung cancer. Your doctor may recommend imaging tests, sputum cytology or a tissue sample, called a biopsy. How Smoking Affects Your Lun...
Surah fatir | from the moshaf in arabic uthmani. Surah fatir (the creator ) 35 : This is chapter 35 of the noble quran. No female can bear (conceive) nor . And allah created you from dust, then of a little fluid, then he made you pairs (the male and the female). Pdf Geometry And Measurement In Quran from i1.rgstatic.net Frequency of the word · 7. This is chapter 35 of the noble quran. فاطر) is the 35th chapter of quran with 45 ayats. Surah fatir (the creator ) 35 : Allah tidak menciptakan makhluk dalam usia yang sama, bahkan seseorang . And allah created you from dust, then of a little fluid, then he made you pairs (the male and the female). English transliteration of surah fatir. And if they belie you ( o muhammad ( saas ) ) , so were messengers belied . Al fateh muhammad zubair, 0:11:53, ↓ 5.45mb. Allah tidak ...
How To Make Av Fold Pop Up Card : Book Review Practical Pop Ups Paper Engineering Anita Loughrey Blog : Next we're going to take a 90 degree v fold, and we're going to place it on the base page, lining up the center line with the center line of the base page. . Pop up the slits as shows That way you have a really great pop promotion. In this lesson we will make an asymmetrical v pivot. Have a great day my friends. This mechanism is useful for moving a design piece side to side across the face of the card. It can raise a flag, jump a cow over the moon, or make a rabbit peek out of a hat. See more ideas about cards, cards handmade, pop up cards. Open the card to 90°. The basic v fold pop up is a powerful pivot, able to rotate a design element a full 90 ° as the card opens. Pop up card ideas are highly sought after and i've got 2 birthday card ideas to share with you today. You...
Komentar
Posting Komentar